A 12-year-old boy from Vrindavan, who spent nearly four years battling a deadly and rare artery disease, has been given a second chance at life — thanks to a team of specialists at Delhi’s Indraprastha Apollo Hospital. The child, once on the verge of heart failure and kidney shutdown, is now back in school, smiling and healthy.
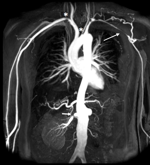
The boy was suffering from Juvenile Takayasu Arteritis, an extremely rare inflammatory disorder that attacks the body’s largest artery — the aorta — and its branches. The disease had caused severe narrowing of blood vessels, leaving his heart functioning at only 15% capacity and nearly cutting off blood supply to both kidneys.
Doctors across multiple hospitals had refused to operate, calling his case “too risky to survive surgery.”
But everything changed when he arrived in Delhi on July 31, 2025.
“He was fighting to stay alive,” doctors recount
“He could not breathe while lying down, his kidneys were failing, his blood pressure was uncontrollable. He was extremely critical,” said Dr. N. N. Khanna, Senior Consultant in Interventional Cardiology, who led the life-saving procedure.
Open-heart surgery was considered too dangerous. So the doctors opted for a high-risk minimally invasive procedure, using ultra-thin catheters and real-time vascular imaging.

Precision Medicine at Its Finest
The team inserted precision-guided stents to widen the blocked aorta and renal arteries — restoring blood circulation without opening the chest.
The results were immediate and dramatic:
●Breathing normalised within 24 hours
●Oxygen support was removed
●He slept lying flat for the first time in four years
●Swelling reduced and energy levels surged
●Kidney blood flow returned to normal
●Heart function began recovering steadily
A Rare Disease, a Rare Victory
Takayasu Arteritis is often called “the pulseless disease” because it can silently block major arteries — leading to stroke, heart failure, or death. It is extremely rare in children, making timely diagnosis and treatment difficult.
“This surgery was not just about survival,” Dr. Khanna emphasized.
“It was about giving him his childhood back.”
Back to School, Back to Life
Today, the once bedridden child:
●Walks and plays freely
●Laughs confidently
●Attends school again
●Dreams of a future he once feared he didn’t have
His story is being hailed as a testament to medical innovation, teamwork, and relentless hope.
